
Гялалзсан цагаан шүд сайхан инээмсэглэлийн гол нууц нь гэдэгт хүн бүр санал нэгдэх байх. Шарлаж өнгөр тогтсон шүдийг хэрхэн гэрийн нөхцөлд хурдан цайруулж болох талаар хэдэн зөвлөгөө өгье.
-Тал лимоны шүүсийг шахаж бэлтгэнэ.
-1 ц.х хүнсний сода
Саванд хийж сайтар холиод шүдээ угаасны дараа сойзоор шүдэндээ сайтар түрхэж өгнө. Түрхэх явцдаа сайн үрж өгөөрэй. Энэ аргаар 7 хоногт 1 удаа шүдэндээ түрхэж өгөхөд хангалттай.
Лимон нь таны шүдэнд олон талын ач тустай. Тухайлбал шүд өвдсөн үед лимоны шүүсийг тэр хэсэг дээрээ хөвөнд шингээж тавих юм бол өвчин намддаг байна.
Мөн лимонд агуулагдах хүчил нь бактерийн эсрэг үйлчилгээтэй тул амны хөндийн элдэв өвчинөөс урьдчилан сэргийлэх ач холбогдолтой юм.
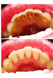
Шүдний чулууг хэрхэн арилгах вэ?

Шүдний чулуу нь ясан шүд гэлтгүй сүүн шүд, хиймэл шүдэн дээр ч гарч ирдэг. Хоол идсэний дараа хоолны үлдэгдэл шүдний завсар үлдэж хуримтлагдснаар улмаар хатуурч шүдний чулууг үүсгэдэг байна. Өнгөний хувьд шар болон бор өнгөтэй байдаг.
Шүдний чулууг зөвхөн ОО, сойз ашиглан арилгах боломжгүй юм. Тиймээс танд шүдний чулууг гэрийн нөхцөлд арилгах арга санал болгож байна. Танд дараах зүйлс хэрэгтэй.

30 гр нунтагласан хушганы яс

200 мг ус
Саванд усаа хийж дээрээс нь нухсан хушганы ясаа хийгээд 20 минут буцалгана. Дараа нь хөргөгчинд хийж хөргөсний дараа шүдний сойзон дээр бага зэрэг авч шүдний чулуутай хэсгүүдээр сайтар үрж 5 минут угаана. Ингээд хэрхэн үр нөлөөгөө өгөх эсэхийг ажиглах л үлдлээ.
http://beautificent.com/

Өглөө.мн Шинэ өглөө, Шинэ мэдээлэл