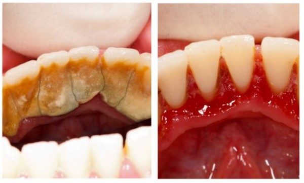
Бид бүгд шүдний чулууг үзэн яддаг бас шүдний эмчид очхоос бүүр ч их айдаг шүү дээ. Иймд таньд шүдний эмчид очих шаардлагагүгээр гэрийн нөхцөлд хэрхэн шүдний чулууг арилгаж болох жорыг хүргэж байна.

Хэрэглэгдэх зүйлсүүд:
-40гр нунтагласан хушигны яс
-250гр ус
Хийх дараалал:
-Усандаа нухсан хушганы ясаа хийгээд 20 минут буцалгана.
-Дараа нь хэсэг хөргөсний дараа шүдний сойзон дээр бага зэрэг авч шүдний чулуутай хэсгүүдээр сайтар үрж 10 минут угаана.
-Амаа бүлээн усаар сайтар зайлна.
Үүнийг өдөрт гурван удаа 7 хоногийн турш тасралтгүй хийвэл таны шүдний чулуу ор мөргүй арилах болно.
Эх сурвалж: fithacker.ru
Орос хэлнээс орчуулсан: ezuwluguu.com
Өглөө.мн Шинэ өглөө, Шинэ мэдээлэл